Porcelain Veneers: Case 1 - Victoria, TX
Description
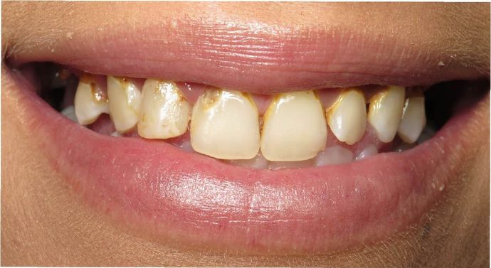
Amazing changes are possible!! This is a combination of extracting hopeless teeth, replacing those teeth with implants and reversing years of neglect with natural looking porcelain veneers. Giving a smile that opens the world anew!!




